Ваша ідеальна посмішка
Зубні імпланти у Дніпрі
етапи імплантації
  • 1
    Первинний стоматологічний огляд
    Первинний огляд стоматолога перед імплантацією зубів включає в себе декілька важливих етапів для забезпечення успішного встановлення імплантатів та майбутнього орального здоров'я пацієнта.

    1. Анамнез та Огляд медичного стану:

    • Медичний анамнез для визначення загального стану здоров'я пацієнта та наявності хронічних захворювань.
    • Визначення можливих протипоказань для імплантації.

    2. Огляд орального здоров'я:

    • Оцінка стану ясен та прилеглих тканин.
    • Визначення наявності карієсу та інших стоматологічних захворювань.
    • Вивчення структури та стану сусідніх зубів.

    3. Рентгенологічне дослідження:

    • Проведення рентгенівських знімків для детальної оцінки структури кістки та визначення можливості імплантації.
    • Вивчення анатомії та визначення відстаней до сусідніх структур, таких як нерви та судини.

    4. Визначення функціональних аспектів:

    • Вивчення прикусу та оцінка функціональних можливостей щелепи.
    • Аналіз зубного відступу та визначення планування лікування.

    5. Уточнення пацієнтських побажань та очікувань:

    • Обговорення індивідуальних побажань пацієнта та визначення його очікувань від імплантації.
  • 2
    Підготовчий етап
    Підготовчий етап до імплантації зубів є важливою частиною процедури та включає в себе кілька ключових кроків для забезпечення успішної імплантації та подальшого успішного вирішення пацієнтських проблем.

    1. Клінічний огляд та консультація:

    • Підготовчий етап розпочинається клінічним оглядом стану орального здоров'я пацієнта та консультацією з лікарем-імплантологом.
    • Пацієнт обговорює свої побажання та сподівання від імплантації.
    • 2. Діагностичні знімки:

      • Використання рентгенівських та/або комп'ютерно-томографічних (CT) знімків для детального аналізу кісткової структури та оцінки можливостей для імплантації.
        • 3. Лікувальний план:

          • Розроблення індивідуального лікувального плану на основі клінічного огляду та діагностичних знімків.
          • Визначення кількості та місця імплантів, необхідних для відновлення стоматологічного здоров'я пацієнта.
            • 4. Лікування перед імплантацією:

              • Якщо є необхідність, проведення передімплантаційного лікування, такого як лікування пародонтальних захворювань, вилікування карієсу або підготовка щелеп для прийому імплантатів.
  • 3
    Імплантація
    Процес імплантації зубів — це серія кроків, які включають в себе встановлення штучного коріння (імпланта) у кістку щелепи, на якому потім закріплюється замінник втраченого зуба.

    1. Створення доступу до кістки:

    • Лікар робить невеликий розріз в яснах для створення доступу до кістки щелепи.

    2. Вибір розміру імпланта:

    • Вибір імпланта залежить від розміру порожнини, структури кістки та індивідуальних особливостей пацієнта.

    3. Вставлення імпланта:

    • Лікар вставляє імплант в кістку щелепи. Цей етап може вимагати точного позначення місця та орієнтації для досягнення оптимального результату.

    4. Закриття порожнини:

    • Після встановлення імпланта порожнину закривають швами.

    5. Заживлення та Осідання:

    • Процес заживлення, відомий як остеоінтеграція, починається, коли кістка щелепи поступово зростає до поверхні імпланта.

    6. Встановлення абатмента:

    • Після заживлення імплантату встановлюється абатмент, який є структурою, що з'єднує імплант із замінником зуба.

    7. Виготовлення та закріплення зубного відбитка:

    • Виготовляється відбиток для виготовлення замінника зуба, який потім закріплюється на абатменті.
  • 4
    Ортопедія
    Ортопедичний етап після імплантації зубів включає в себе ряд кроків, спрямованих на створення та закріплення замінника зуба на встановлених імплантах.

    1. Прикусна адаптація:

    • Проведення прикусної адаптації для забезпечення правильного функціонування замінника та відновлення природного прикусу.

    2. Коригування та дозамовлення:

    • У випадку необхідності виконуються коригування та дозамовлення замінника для досягнення ідеальної гармонії між стоматологічною і естетичною точками зору.

    3. Післяопераційний контроль та догляд:

    • Завершальний огляд та налагодження проводяться для переконання в правильному функціонуванні та комфорті пацієнта.

    4. Регулярні відвідування для контролю:

    • Пацієнт повинен регулярно відвідувати свого стоматолога для контролю, чи замінник добре інтегрується та чи не виникають проблеми.
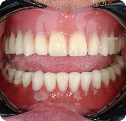
Як підготуватись до ІМПЛАНТАЦІЇ?
Вітаємо! Ви успішно пройшли всі етапи підготовки і планування — дату встановлення імплантів вже назначено. Незабаром ви насолоджуватиметесь ідеальною посмішкою і смакуватимете улюблені страви без будь-якого дискомфорту.
  1. За 2-3 дні до операції рекомендуємо дотримуватися легкої дієти: виключити з раціону жирне, солоне, смажене та здобу. Віддайте перевагу овочам і фруктам, рибі та молочним продуктам.
  2. Утримайтесь від вживання кави, чаю та алкоголю перед операцією, оскільки ці напої можуть спровокувати різкі зміни тиску, що може призвести до кровотечі після операції.
  3. Поїжте за 2 години до операції, але уникайте переїдання. Рекомендуємо вживати яйця, невеликі шматки м’яса, овочі на пару та різні крупи.
  4. Перед операцією можна пити тільки воду. Якщо планується загальний наркоз, утримуйтесь від споживання будь-якої рідини протягом 4 годин до операції.
Зубні імплантати — це найефективніший спосіб відновлення зубів, що дозволяє вам повернутися до звичайного харчування, пиття та мовлення.
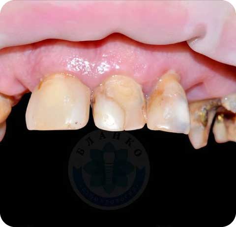
Що станеться, якщо не встановити імплант вчасно?
1
Зміни в структурі щелепи
При втраті зуба, щелепа може почати атрофуватися або втрачати об'єм. Це може вплинути на структуру кістки та сусідні зуби. Втрата зуба може викликати зміни у прикусі, що може впливати на функцію жування та вести до зношування сусідніх та протилежних зубів.
2
Переміщення сусідніх зубів
Сусідні зуби можуть почати переміщуватися в напрямку втраченого зуба, спробуючи заповнити простір. Це може вплинути на прикус та вести до нерівномірного зубного ряду. Відсутність стимуляції кістки через відсутність зуба та його коріння може вести до втрати кісткової маси.
3
Естетичні проблеми
Відсутність зуба може призвести до естетичних проблем, особливо якщо втрачений зуб знаходиться у видимій області. Це може вплинути на самооцінку та якість життя, а також на вимову та мовні можливості. Втрата зуба може вплинути на психосоціальний стан пацієнта, викликаючи стрес, комплекси та втрату впевненості у собі.
Отримайте зубні імплантати за розумною ціною
Поверніть свою посмішку!
1
Офіційні представники NeoBioTech
Ми є офіційними представниками світового виробника імплантів NeoBioTech (Південна Корея) в Україні. Наша клініка пропонує розумне співвідношення ціни та якості, а також надає офіційну гарантію від виробника.
2
Технологія цифрової стоматології
Використовуємо сучасні технології цифрової стоматології, зокрема — сканер 3shape Trios Wireless, що дозволяє нам здійснювати повний обсяг діагностики та планування лікування з високою точністю.
3
Імплантація уві сні
Забезпечуємо можливість імплантації з використанням седації або наркозу, що допомагає пацієнтам відвідувати процедури максимально комфортно та безболісно.
4
Лікування за всіма правилами
Наша команда має великий досвід у відновленні зубів за допомогою імплантів. Якщо ви втратили зуби через нещасний випадок, карієс, ушкодження щелепи або захворювання ясен, ми гарантуємо ефективне та персональне вирішення проблеми за допомогою імплантатів.
Наші Лікарі
  • Мастиленко
    Роман Романович
    Досвід роботи: 12 років


    Досвід роботи:

    • 2012-2013 – у позанавчальний час помічник зубної техніки.
    • 2013-2015 – зубний технік у приватній зуботехнічній лабораторії.
    • 2015-сьогодення – лікар-стоматолог ортопед, хірург.


    Освіта:

    • 2018-2020 - Запорізька медична академія післядипломної освіти "Кафедра стоматологія".
  • Гутник
    Олег Олександрович
    Досвід роботи: 7 років


    Освіта

    Навчання у ДДМА - лікар-стоматлог: 2012-2017.

    Позаучбовий час - «асистент лікаря стоматолога».

    • 2017-2019 - інтернатура на базі ДДМА у м.Кривий Ріг.
    • Очна частина Криворізька міська стоматологічна поліклініка №1 «ДОР».
    • Заочна частина Криворізька міська стоматологічна поліклініка №4 «ДОР».
    • Позаучбовий час - «асистент лікаря стоматолога» у приватній стоматологічній клініці.

    2020 - Спеціалізація за фахом «лікар - стоматоло-ортопед» на базі Криворізької міської стоматологічної поліклініки №1 «ДОР».


    Додаткова освіта:

    • Стоматологічний навчальний центр «Fenestra» Ортопедична стоматологія: Металокераміка, безметалева кераміка, вкладки, вініри.
    • Стоматологічний навчальний центр «Fenestra».
    • Невідкладна допомога у стоматологічній практиці.
    • Стоматологічний навчальний центр «Dental Maestro»: Базовий курс навчання з імплантації.
    • Навчальні курси на базі «Amel academy»: Протокол «all on 4/6» Використання інтраоральної сварки в практиці.
    • Володимир Соболевський: «Тотальне протезування на імплантатах».
    • Навчальні курси «implant academy»: менеджмент м'яких тканин.
  • Томенко
    Віктор Леонідович
    Досвід роботи: 8 років
    • 2012-2013 – у позанавчальний час помічник зубного техніка.
    • 2013-2015 – зубний технік у приватній зуботехнічній лабораторії.
    • 2015 - сьогодення – лікар-стоматолог ортопед, хірург.


    Освіта:

    • 2018-2020 - Запорізька медична академія післядипломної освіти "Кафедра стоматологія".
    • 2013-2018 - Дніпропетровський медичний інститут традиційної та нетрадиційної медицини Факультет стоматології, кваліфікація лікар-стоматолог.
    • 2010 – 2013 Дніпродзержинське медичне училище. Факультет Ортопедична Стоматологія, кваліфікація – Зубний технік.

    • Додаткова освіта:

      • 2014 – «Комплексний підхід у стоматології від ендодонтії до реставрації – Максим Білоград навчальний клуб «Білий Град».
      • 2015 – «Сучасний погляд на повторне ендодонтичне лікування. Теоретичні та практичні аспекти.» - Ігор Ноєнко «Dental school».
      • 2015 – «Формування, очищення та обтурація системи кореневих каналів» – Піголєв Андрій «Axis SybronEndo».
      • 2016 – «Первинна Єндодонтія» – Ігор Ноєнко «Dental school».
      • 2017 – «місцеві анестетики у повсякденній практиці лікаря-стоматолога» – Анісімов Максим «3М».
      • 2017 – «Легкий старт у дитинство. Концепція дитячого стоматологічного прийому. Погляди на лікування молочних зубів сьогодні» Ольга Бойчук «Dental studio».
      • 2017 – «Керамічна реставрація – можливості та прогноз» - Ігор Ковшар «3М».
      • 2017 – «MicroVision Anteriors: Ceramik Veneers» – Максим Білоград «Belograd».
      • 2019 - "Адгезивний протокол та постендодонтичне відновлення зубів" - Мартинович Станіслав "Amel academy".
      • 2019 - "IPS e.Max ZirCAD ідеальне рішення для комбінованих робіт, цільнокерамічні реставрації" - Дмитро Петришен "ivoclar vivadent", "ISDE".
      • 2019 - "Почни працювати у мікроскоп" - Мехтіханова Зара "Amel academy".
      • 2019 - "Техніка ручного скейлінгу" - Анна Вишневська "Amel academy".
      • 2020 - "Місцева Анестезія в стоматології" - Ольгов Арсеній "Amel academy".
      • 2020 – "Сучасна ортопедична стоматологія" Бублай О.П. "Fenestra".
      • 2021 - "Оптимальна ендодонтія. Реставрація ендодонтично лікованих передніх молярів" - Родлінський Сергій, Сабота Наталія "Аполлонія".
      • 2021 - "Імплантація для початківців" - Денис Шашин "Amel academy".
      • 2022 – "Основи гнатології" – Значков К.Ю.
      • 2022 – "Implants" – Віктор Каленічук, Дмитро Воскобойник, Андрій Куріцин, Роман Куцяк, Владислав Ісаков. "Dental implantology expo".
      • 2022 - "Моделювання м'яких тканин" - Роман Куцяк "Implant academy".
  • Пошивайло
    Володимир Володимирович
    Досвід роботи: 12 років


    Освіта:

    • 2007-2010 - навчання в Медичному коледжі зі спеціальності Стоматологія ортопедична.
    • 2011 - сьогодення робота та управління зуботехнічною лабораторією у м.Дніпро.
    • 2019 - сьогодення робота та управління CAD/CAM центром у м.Дніпро.


    Додаткова освіта:

    • 2008 - Застосування термопластичних матеріалів у стоматології - Професор, доктор медичних наук Е.Я Варес. (Ivoclar vivadent AG) технік Віталій Іщенко / Лікар Владислав Висоцький.
    • 2010 - освітня конференція з сучасних технологій в імплантології та естетичній стоматології Nobel Biocare. Ортопед Микола Бахурінський, Олександр Горлов, хірург Олександр Зорін. Технік Ігор М'ясківкер.
    • 2011 - Курс роботи з керамічною масою Noritake. Технік Євген Сухотерін.
    • 2013 - Підвищення майстерності роботи з керамічною масою. Технік Казунобу Ямада.
    • 2013 - Протезування на імплантах. Доктор Краснжон Олексій.
    • 2014 - Діагностика та планування, прийняття рішень в ортопедичній стоматології. Лікар Красножон Олексій.
    • 2015 - Виготовлення металокерамічних протезів із формуванням особливо точного крайового прилягання. Лектор Ізмайлов Олексій.
    • 2016 - Практичний курс вініри на вогнетривких моделях. Технік Саша Пасічний.
    • 2016 - Протезування на імплантах. Технік Ізмайлов Олексій.
    • 2019 - Has attended an inside Out course by August Bruguera.
    • 2019 - Індивідуалізація CAD-CAM реставрацій. Технік Володимир Мадюдя.
    • 2019 - Хірургічні шаблони та тимчасові конструкції R2Gate + Exocad. Лектори: Обабко Олександр, Дементьєв Андрій.
    • 2021 - Знімне та умовно-знімне протезування. Лектор Євген Ройзенгурт.
Питання та відповіді
Потрібна консультація?
Відгуки:
  • Марія Іванова
    Вирішила зайнятися маминим здоров'ям, а почала зі стоматології. Сама лечусь тут, тому й маму записала. Декілька зубів пролікували і запломбували, поставили 3 імпланти, зробили чистку. Зовсім інша справа. І добре, що дали розстрочку. До якості виконаної роботи претензій немає, як завжди, все супер.
  • Олена Смірнова
    Велике спасибі всьому колективу Бланко за їхній професіоналізм та турботу про пацієнтів. Окремо хочу відзначити доктора Івана Анатолійовича – фахівець високого рівня та дуже уважний доктор. Рекомендуватиму цю стоматологію всім знайомим.
  • Ганна Сидоренко
    Така відповідальна справа як імпланти не могла довірити аби кому. Усі знайомі в голос радили цю клініку. Вже на консультації я зрозуміла, що потрапила до потрібного місця. На даний момент все загоїлося, дискомфорту немає, імплант як рідний зуб. Тепер і я радитиму всім.
  • Демід Ісаєв
    Ставив у Бланко вініри. Зуби підготували добре, розповіли усі тонкощі. Результатом залишився задоволеним. Зуби виглядають класно, а головне, що при правильному догляді це на все життя. Колір підібрали натуральний, так і не скажеш, що то вініри.
  • Ольга Калініна
    Якщо хтось сумнівається, то не варто. У місті живу нещодавно, весь інтернет перекопав у пошуках місця, де зробити вініри. Найбільше хвалили Blanco, я записалася. Коли потрапила до клініки, то була приємно вражена чистотою, комфортом та сучасним обладнанням. Вініри поставили розкішні, я залишилася задоволена.
  • Олександра Пруськіна
    Роблять добре. Особливо можу радити протезистів. Дають гарантію на свою роботу, а це вже говорить багато про що. Нема такої проблеми, яку вони не зможуть вирішити.
  • Єгор Мішулін
    Дружина робила тут вініри, а я поводився з пульпітом. Які тут працюю професіонали. Зробили ідеально! Я тепер регулярно відвідую у них планові огляди, щоб не допускати старих помилок.
  • Павло Івашин
    Оплачував частинами їхнє лікування і я жодного разу не пошкодував, що пішов сюди. Все було зроблено настільки якісно, що це коштувало своїх грошей. Був уже досвід із дешевими стоматологіями, дякую, більше не треба.
  • Владіслава Шестакова
    Майже рік ходила до Бланко, майже щомісяця :) Було лікування, коронки, імплантація та вініри. Робили все поступово без поспіху. Через рік хочу відзначити, що все зараз добре. Відвідування було комфортним.
  • Катерина Скляренко
    Гутник Олег Олександрович – дуже кваліфікований та грамотний лікар. Він використовує сучасні методи лікування. Все робить швидко та ефективно. Максимально уважно ставився до мене і якщо щось було незрозуміло, він усе пояснював. Велике йому дякую за хорошу роботу!
Наші Кейси
  • Імплантация при повній відсутності зубів / протез на індивідуальній балці із кобальт-хрома
    Скарги на повну відсутність зубів на верхній і нижній щелепі.
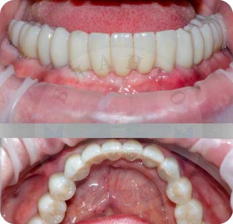
  • Імплантація зубів за допомогою хірургічних шаблонів Navi-Lab. Імплантація зубів уві сні. Імплантація зубів Дніпро All-on-4
    Пацієнт звернувся з такою проблемою: генералізований пародонтит на верхній та нижній щелепі, рухливість зубів, втрата кісткової тканини.
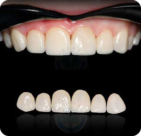
  • Трансформація посмішки клінічний випадок із вінірами на зуби!
    Якщо і ви мрієте про перетворення своєї усмішки, не соромтеся звертатися до «Бланко»! Ми із задоволенням допоможемо вам знайти посмішку, яка відображатиме вашу індивідуальність.
  • Трансформація посмішки клінічний випадок із вінірами на зуби!
    Якщо і ви мрієте про перетворення своєї усмішки, не соромтеся звертатися до «Бланко»! Ми із задоволенням допоможемо вам знайти посмішку, яка відображатиме вашу індивідуальність.
Сертифікати